식약처 허가 AI 기반 영상 판독 보조 소프트웨어
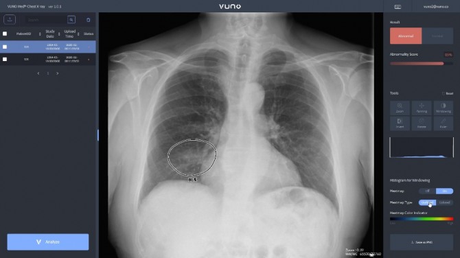
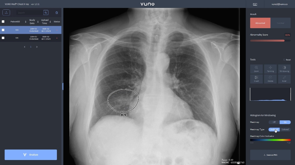
이미지 확대보기뷰노메드 체스트 엑스레이는 폐렴 진단에 도움을 주는 주요 흉부 엑스레이 소견인 '경화(consolidation)'와 '간질성음영(interstitia lopacity)' '흉막삼출(pleural effusion)' 등 총 5개의 소견을 검출하는 기능을 갖춘 흉부 엑스레이 AI 솔류션으로 식품의약품안전처 허가를 받은 제품이다.
최근 코로나19 중앙사고수습본부가 의료기관 내 선별진료소에 이동식 엑스레이 장비 확충 예산을 집행하기로 결정, 코로나19 의심환자 선별을 위한 흉부 엑스레이 촬영이 증가할 것으로 예상된다. 이에 뷰노메드 체스트 엑스레이 도입도 늘어날 전망이다.
이에 지난달 강원도 지역 보건소가 이동형 엑스레이 장비를 설치하면서 뷰노메드 체스트 엑스레이 도입을 완료했다. 대구파티마병원 등도 지난 1월부터 뷰노메드 체스트 엑스레이를 사용 중이다. 뷰노는 제품 도입이 확대되면서 내원 환자들의 영상의학적 폐렴 여부를 신속하게 확인, 코로나19 신고 대상자를 효율적으로 선별할 수 있을 것으로 기대하고 있다.
황재용 글로벌이코노믹 기자 hsoul38@g-enews.com
































