메디라벨 '3D Fill' 기능 프로토타입 시연
이미지 확대보기9월 1일부터 4일까지 코엑스에서 열리는 이번 학술대회는 '선도적인 환자 중심 디지털 헬스케어'라는 주제로 개최되며 각종 질환에 대한 방사선 이미징 심포지엄 및 방사선학에서 인공지능(AI)이 나아갈 방향 등에 대한 강연과 토론이 진행된다.
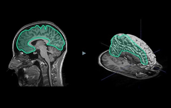
인그래디언트는 이번 학회에서 현장 부스를 마련해 자사의 '메디라벨’ 솔루션의 기술력을 소개하고 '3D Fill' 기능의 프로토타입을 시연해 보일 계획이다.
학술대회 3일 차에는 학회 참가자들을 대상으로 의료 데이터 라벨링에 대한 발표를 진행해 의료 AI의 가치와 전망에 대한 이야기를 나누는 시간도 가질 예정이다.
하나의 데이터에 수백장의 슬라이드가 있는 MRI와 CT 데이터의 경우 라벨링 작업 시간을 획기적으로 절감시킬 수 있는 장점이 있다.
따라서 기존에 라벨링 된 데이터가 많을수록 정확도는 향상되며 동일한 질병에 한해 다른 환자들의 의료 데이터도 손쉽게 예측 가능하다. 3D Fill 기능을 고도화해 의료 연구진들은 미세한 종양의 부피와 위치까지도 정확하게 측정할 수 있을 것으로 기대된다.
메디라벨은 3D Fill 외에도 다양한 기능을 갖추고 있다. 한 번의 클릭으로 원하는 픽셀을 자유롭게 선택해 세밀한 라벨링 작업을 지원하는 '스마트 펜슬' 기능, 특정 병변에 바운딩 박스를 치면 문제가 되는 부위(ROI)나 결절 등을 찾아내 자동으로 라벨링 해주는 '스마트필(Fill)' 기능 등을 제공해 라벨링 시간을 대폭 단축시키는 것은 물론 정확도 높은 라벨링 데이터를 얻을 수 있다.
특히 메디라벨 솔루션은 의료기기의 종류나 데이터의 포맷, 질병의 종류와 관계없이 의료 영상 데이터를 사용하는 다양한 분과에 지원 가능해 우수한 범용성을 자랑한다.
이준호 인그래디언트 대표는 "메디라벨은 의료 영상 데이터 라벨링 전문 솔루션인 만큼 방사선학 의료진 및 연구진들의 관심이 기대된다"며 "이번 학술대회를 통해 '3D Fill' 등 메디라벨이 보유한 기술력을 알리고 의료 산업의 발전에 기여하는 솔루션으로 거듭나겠다"고 말했다.
한편 2021 대한영상의학회 학술대회는 코로나19로 인해 온라인과 오프라인을 결합한 하이브리드 방식으로 개최되며 인그래디언트는 학술대회 일정 동안 코엑스 오프라인 부스에서 만날 수 있다.
노진우 글로벌이코노믹 기자 jinrocals@g-enews.com
































